Présentation du cas
Jean-Rémy, septuagénaire que nous connaissons de longue date, consulte car, depuis plus de 3 semaines, il éprouve une gêne au-dessous de sa langue : il a l’impression d’avoir une tuméfaction au niveau du frein de sa langue. En parallèle, il explique avoir depuis plus de 2 mois un problème de dysphagie essentiellement aux solides.
Nous avons tenté de nombreuses fois de le convaincre de se débarrasser de vieux démons qu’il a de grosses difficultés à verbaliser : alcool et tabac.
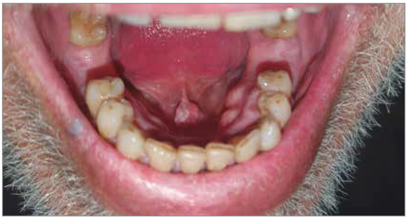
À l’examen de la cavité buccale, nous avons pu constater la présence d’une formation tumorale de couleur blanche, et bourgeonnante (Fig. 1). Le reste de l’examen s’est révélé tout à fait normal. Par ailleurs, nous avons palpé une adénopathie de plus de 2 cm au niveau de la région cervicale.
Figure 1 – Leucoplasie verruqueuse du frein de la langue (flèche rouge).
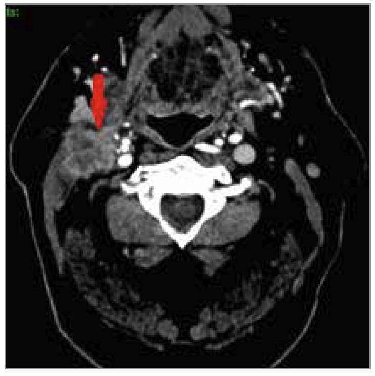
Le bilan ORL n’a pas permis d’identifier de lésion maligne au niveau de l’oropharynx, du rhinopharynx, ni de l’hypopharynx. Cependant, le scanner cervical a confirmé la présence d’une adénopathie très fortement suspecte, du fait de sa morphologie, d’un processus néoplasique (Fig. 2).
Figure 2 – Adénopathie suspecte au niveau cervical droit sur le scanner
Une biopsie de cette dernière a été effectuée et le diagnostic de carcinome épidermoïde de la cavité buccale a été posé avec un traitement associant radiothérapie et chimiothérapie.
La lésion du frein de la langue correspondait quant à elle à une leucoplasie verruqueuse. Cette dermatose doit nous inciter à rechercher une lésion maligne sous-jacente de type carcinome épidermoïde (comme cela a été le cas pour notre patient).
Les leucoplasies [1, 3]
Les leucoplasies sont des placards de couleur blanche qui sont observées au niveau des muqueuses (buccales et vaginales) ou des semi-muqueuses (les lèvres).
Ces formations ne disparaissent pas au frottement, et se caractérisent anatomiquement par un épaississement et une kératinisation de l’épithélium.
Elles sont diagnostiquées chez le patient de plus de 50 ans, avec une plus grande incidence chez les hommes. Près de 80 % des cas ont un tabagisme actif.
Différentes zones anatomiques sont concernées par cette dermatose, qui correspondent le plus souvent aux habitudes tabagiques du patient :
– les commissures labiales,
– les joues,
– les lèvres (le plus souvent de la lèvre inférieure qui est un « reposoir » pour la pipe ou la cigarette)
– le plancher buccal,
– la partie ventrale de la langue (Fig. 3).
Figure 3 – Leucoplasie homogène de la langue
Les caractéristiques cliniques [1, 2, 4]
Dans la très grande majeure partie des cas les leucoplasies demeurent asymptomatiques.
Néanmoins, selon leur topographie, comme dans le cas que nous avons présenté, elles peuvent être à l’origine de désagréments, ou de sensations de corps étrangers.
Classiquement deux formes sont décrites.
– Les leucoplasies homogènes : ce sont les plus fréquentes. Elles se caractérisent par des placards papuleux (légèrement surélevés) de couleur blanche. Ces formations sont bien limitées, et leur consistance est très variable (elle peut être lisse ou rugueuse).
Il est possible de mettre en évidence des fissures ou des crevasses au niveau de ces lésions donnant un aspect de «boue desséchée».
– Les leucoplasies non homogènes : elles sont moins fréquentes, et leur aspect est très variable : érythémateux, verruqueux (comme chez notre patient), érosif, hyperkératosique, ou nodulaire. Ces différents aspects peuvent se retrouver concomitamment sur différentes parties d’un même placard.
Le diagnostic [2-5]
L’examen clinique permet le plus souvent de poser le diagnostic.
Cependant, dans certains cas, il est nécessaire, du fait d’un caractère bourgeonnant de la lésion observée, d’effectuer une biopsie pour un examen anatomopathologique.
L’analyse histologique permet d’éliminer un éventuel diagnostic de carcinome épidermoïde in situ.
Les diagnostics différentiels [2, 4, 6]
Plusieurs types de lésions peuvent faire penser à une leucoplasie, et parfois il est difficile de les distinguer.
– Les hyperkératoses frictionnelles surviennent sur un terrain identifiable (tics ou habitudes, appareil dentaire inadapté), et d’autres lésions cutanées ou des muqueuses (cas de scarification, d’hypomélanoses de traction) doivent être recherchées pour poser ce diagnostic.
– Le lichen plan buccal, qui est le plus souvent centré sur les joues, peut prendre un aspect proche (hyperkératosique ou verruqueux, maculeux), mais il n’y a pas nécessairement de terrain tabagique associé, et d’autres lésions cutanées peuvent être associées. De plus, le lichen est souvent douloureux et peut conduire à une dysphagie.
– Les candidoses buccales surviennent au décours d’une immunodépression, d’une réduction de la sécrétion salivaire, ou faisant suite à l’administration de certains traitements (antibiotiques et corticoïdes, y compris inhalés).
– La leucoplasie chevelue de la langue est une dermatose due au virus d’Epstein-Barr qui survient chez le patient immunodéprimé (cas du patient VIH positif), centrée sur le bord latéral de la langue.
– Le carcinome épidermoïde est une lésion maligne qui peut constituer l’évolution leucoplasie (surtout pour les formes non homogènes).
Évolution [6-8]
Une évolution maligne doit être redoutée pour les formes non homogènes qui nécessitent une surveillance très régulière. Sur un plan épidémiologique, on évalue ce risque d’évolution en cancer épidermoïde avec une fourchette comprise entre 0,7 et 2,9 % des cas. Cette transformation en carcinome épidermoïde est plus fréquemment observée au niveau de la langue, ou du plancher de la bouche (cas de notre patient).
Certains facteurs peuvent favoriser cette transformation maligne : tabagisme excessif, intoxication éthylique, immunodépression, traitement par radiothérapie, certaines infections virales (Human Papilloma Virus).
La prise en charge [1, 6]
Préventive
Il est important :
– de recommander le sevrage du tabac et de l’alcool chez les patients ,
– de surveiller étroitement les patients ayant bénéficié d’une radiothérapie sur la zone cervicale, et ceux qui ont une immunodépression.
Curative
Toute lésion évolutive, modifiant sa forme ou sa structure doit être biopsiée. Pour les lésions ayant un caractère dysplasique, il est possible de réaliser de la cryothérapie ou d’appliquer certains topiques comme le 5-fluorouracile (Efudix®). Par contre, dès lors que la notion d’un carcinome épidermoïde invasif est démontrée, il faut recourir à la chirurgie.
Parallèlement à cette prise en charge thérapeutique, un bilan d’extension doit être réalisé, cela d’autant plus que le carcinome épidermoïde invasif des muqueuses a un potentiel métastatique plus élevé qu’un carcinome épidermoïde cutané invasif.
Conclusion
Comme nous avons pu le voir, les leucoplasies surviennent le plus souvent chez des patients âgés, et leur potentiel de malignité est d’autant plus important que ces personnes présentent des addictions, ou des traitements inducteurs. Toujours est-il, et comme notre cas clinique nous le montre, qu’il est important de bien suivre les patients ayant de telles lésions pouvant être à l’origine de transformations malignes.
De plus, sur un terrain d’addiction, il est fondamental de rechercher, en présence de lésions leucoplasiques, d’autres atteintes malignes d’organe (cas de néoplasies ORL, œsophagiennes ou pulmonaires).
L’auteur déclare ne pas avoir de liens d’intérêt.
Bibliographie
1. Benslama L. Les pathologies de la muqueuse buccale. Ed CdP 2024.
2. Habif TP. Maladies cutanées. Diagnostic et traitement. Ed Elsevier Masson 2012.
3. Kuffer R, Lombardi T, Husson-Bui C et al. La muqueuse buccale. De la clinique au traitement. Ed Med’com 2009.
4. Harris P, Bissonnette C, Tabet P, Wittmer R. Lésions blanches courantes dans la cavité buccale. Canadian family physician 2025 ; 71 : e7-e14.
5. Benslama L. Pathologies médicales potentiellement malignes de la muqueuse buccale. La revue du praticien 2019 ; 69 : 856-60.
6. Martorell-Calatayud A, Botella-Estrada R, Bagán-Sebastián JV. Oral leukoplakia: clinical, histopathologic, and molecular features and therapeutic approach. Actas dermosifiliograficas 2009 ; 100 : 669-84.
7. Narayan TV, Shilpashree S. Meta-analysis on clinicopathologic risk factors of leukoplakias undergoing malignant transformation. Journal of Oral Maxillofacial Pathology 2016 ; 20 : 354-61.
8. Lingen MW, Abt E, Agrawal N et al. Evidence-based clinical practice guideline for the evaluation of potentially malignant disorders in the oral cavity: a report of the American Dental Association. Journal of American Dental Association 2017 ; 148 : 712-27.



