- Profession
Observance, prescriptions inappropriées et recherche p.25
Clémentine Vignon
- Cas clinique
Monsieur K., hospitalisé pour altération de l’état général p. 26
Simon Letertre (Nîmes), Dr Fannie Santoni (Nîmes), Dr Laetitia Geronimi-Robelin (Nîmes), Pr Benoît de Wazières (Nîmes)
- Cas clinique
Dyspnée brutale et douleur thoracique au décours d’une pneumopathie hypoxémiante p.30
Dr Elena Chidlovskii (Grenoble)
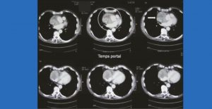
- Image commentée
Un coeur bien chaud : que voyez-vous ? p.34
Pr Benoît de Wazières (Nîmes)
- Mise au point
Ostéoporose et autres maladies osseuses p.36
Pr Françoise Debiais (Poitiers)
- Cas clinique
Dysphonie chez une ancienne infirmière p.42
Laurene Bernard (Nîmes), Dr Laetitia Geronimi-Robelin (Nîmes)
- Comprendre
La iatrogénie cognitive : savoir l’identifier chez le sujet âgé p.45
Christelle Mouchoux (Lyon), Constance Loue (Lyon), Pr Pierre Krolak-Salmon (Lyon)
- Bulletin d’abonnement p. 41
- Petites annones p.49
La lecture de ce numéro est réservée aux abonnés.
Pour accéder au numéro complet
Découvrez nos offres d'abonnement
Abonnez-vous à la revue et accédez à tous les contenus du site !
- Tous les contenus de la revue en illimité
- Les numéros papier sur l'année
- Les newsletters mensuelles
- Les archives numériques en ligne
ou
Achetez ce numéro
ou
Inscrivez-vous gratuitement sur Repères en Gériatrie.fr et bénéficiez de l'accès à de nombreuses catégories du site !
- Accès aux catégories d'articles exclusives
- Les newsletters mensuelles
- Votre historique de commandes en ligne
Au sommaire de ce numéro
Lancement du Prix Marguerite Oncologie
Teva Laboratoires, en partenariat avec la Société francophone d’oncologie gériatrique (SoFOG), vient d’annoncer le lancement, dans tous les hôpitaux et cliniques de France métropolitaine, du prix Marguerite Oncologie, qui récompensera…
Prescriptions médicamenteuses inappropriées : les mises à jour
1. STOPP/START Développé en 2008, STOPP/START est un outil de détection de la prescription médicamenteuse potentiellement inappropriée chez la personne de 65 ans ou plus. Il propose une liste de…
La dépression, un facteur de risque de troubles cardiovasculaires ?
Une étude parue le 1er février 2016 dans la revue American Geriatrics Society vient de confirmer le lien, chez les personnes de plus de 65 ans, entre l’existence de symptômes…
Monsieur K., hospitalisé pour altération de l’état général : une « curieuse mycose »
Monsieur K. est hospitalisé pour altération de l’état général (AEG) avec asthénie depuis 4 mois et une perte de poids de 5 kg (soit 7 % du poids).
Dyspnée brutale et douleur thoracique au décours d’une pneumonie hypoxémiante : quel est votre diagnostic ?
Madame V., 86 ans, est hospitalisée pour dyspnée aiguë fébrile et syndrome confusionnel. La patiente décrit une asthénie physique et psychique depuis quelques jours avec apparition d’une toux grasse. Le…
Un cœur bien chaud : que voyez-vous ?
Monsieur M. Robert, âgé de 81 ans, est adressé en consultation pour un tableau évocateur de maladie de Horton un peu atypique. Vous demandez un scanner TAP : comment interprétez-vous…
Dysphonie chez une ancienne infirmière : une histoire classique dans ses détails
Madame D., 89 ans, est hospitalisée pour une altération de l’état général associée à une dysphonie et dysphagie dans un contexte de syndrome parkinsonien vasculaire évolué. Elle présente une dénutrition…
La iatrogénie cognitive : savoir l’identifier chez le sujet âgé
La iatrogénie cognitive peut se définir comme une diminution de la réserve cognitive, l’apparition ou l’aggravation de troubles neurocognitifs. Elle affecte les fonctions cognitives globales ainsi que les performances cognitives.…





