- Démarche diagnostique
Baisse d’acuité visuelle, fièvre et asthénie : comment traiter cette patiente ? p. 50
Dr Antoine Loubet, Dr Valéry Antoine, Pr Benoît de Wazières (Nîmes)
- Savoir reconnaître
Un syndrome subocclusif à répétition : quelle conduite à tenir pour cette patiente ? p. 53
Pr Benoît de Wazières (Nîmes)
- Réflexion
Vitamine D : faut-il la doser et en prescrire ? p. 55
Pr Michel Laroche (Toulouse)
- Mise au point
Anticoagulants et cardioversion de la FA : nouvelles données p. 59
Dr Walid Amara (Le Raincy-Montfermeil)
- Profession
La prescription médicale hors AMM : nouvel encadrement juridique p. 63
Benjamin Attali (Strasbourg)
- Fiches thérapeutiques
Guide du bon usage pharmaceutique en gériatrie p. 66
– Traitements contre l’hypertension artérielle p. 67
– Traitements contre l’angor stable p. 69
– Traitements contre l’anxiété p. 71
Dr Hélène Richard et Pr Benoît de Wazières (Nîmes)
- Bulletin d’abonnement p. 58, 62
- Petites annonces p. 72
- Index 2014-2015 p. 73
La lecture de ce numéro est réservée aux abonnés.
Pour accéder au numéro complet
Découvrez nos offres d'abonnement
Abonnez-vous à la revue et accédez à tous les contenus du site !
- Tous les contenus de la revue en illimité
- Les numéros papier sur l'année
- Les newsletters mensuelles
- Les archives numériques en ligne
ou
Achetez ce numéro
ou
Inscrivez-vous gratuitement sur Repères en Gériatrie.fr et bénéficiez de l'accès à de nombreuses catégories du site !
- Accès aux catégories d'articles exclusives
- Les newsletters mensuelles
- Votre historique de commandes en ligne
Au sommaire de ce numéro
Fiches thérapeutiques : « Hypertension artérielle »
Indication d’un antihypertenseur (en plus de la prise en charge des autres facteurs de risque cardio-vasculaire) : • d’emblée pour un risque cardio-vasculaire évalué élevé, en plus des règles hygiénodiététiques…
Fiches thérapeutiques : « Angor stable »
Tous les patients angineux doivent bénéficier d’un traitement médicamenteux adapté, d’une prise en charge des facteurs de risque cardio-vasculaire associés (tabac, diabète, HTA, cholestérol, surpoids, sédentarité) et d’une surveillance régulière.
Fiches thérapeutiques : « Anxiété »
Certains troubles du comportement du sujet âgé peuvent être liés à l’anxiété, comme des troubles du sommeil, un état d’agitation chez un dément, notamment en fin d’après-midi (syndrome du crépuscule)…
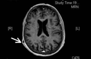
Baisse d’acuité visuelle, fièvre et asthénie : comment traiter cette patiente ?
Mme V., 77 ans, a été adressée dans notre service pour une exploration d’une baisse d’acuité visuelle de l’oeil gauche, associée à un fébricule et une asthénie évoluant depuis 15…
Un syndrome subocclusif à répétition : quelle conduite à tenir pour cette patiente ?
Mme R., 87 ans, vous est adressée par son EHPAD, car elle présente des épisodes subocclusifs à répétition. Elle a comme antécédent essentiel une intervention pour cancer du côlon droit…
Vitamine D : faut-il la doser et en prescrire ?
La vitamine D guérit et prévient l’ostéomalacie, secondaire a une carence prolongée d’ensoleillement, souvent associée à l’ostéoporose chez les personnes âgées, ce que d’anciens auteurs dénommaient « ostéoporomalacie ». Il…
Anticoagulants et cardioversion de la FA : nouvelles données
L’arrivée des anticoagulants oraux directs (AOD) a généré pour les médecins des questionnements quant à la gestion du traitement anticoagulant. Peut-on faire une cardioversion sous AOD ? Doit-on faire un…
La prescription médicale hors AMM
La prescription médicale hors autorisation de mise sur le marché (AMM) est désormais pleinement reconnue. Pendant longtemps, cet acte médical était pris entre les feux d’une part du principe de…








