- Le point sur
Repérage de la dépendance fonctionnelle : un enjeu majeur de l’évaluation oncogériatrique p.49
Dr Frédéric Pamoukdjian (Bobigny)
- Actu biblio
Pneumonie communautaire : revue de la littérature p.54
Clémentine Vignon
- Image commentée
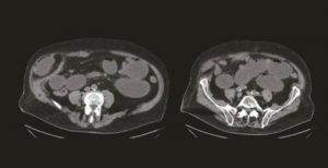
Une ponction pleurale : un geste réussi ? p.56
Dr Laetitia Geronimi-Robelin (Nîmes)
- Cas clinique
Du diagnostic de gastro-entérite à une prise en charge au bloc opératoire : importance de la répétition des examens cliniques en médecine gériatrique p.58
Dr Tristan Cudennec, Marina Cumin, Dr Élise Fercot, Dr Lucie Aubert, Pr Frédérique Peschaud (Boulogne-Billancourt)
- Cas clinique
Une main en gants de boxe p.62
Pr Benoît de Wazières (Nîmes)
- Cas clinique
Déficit neurologique brutal : quel est votre diagnostic ? p.64
Dr Elena Chidlovskii (Grenoble)
- Interview
Unité péri-opératoire gériatrique : entretien avec le Pr Jacques Boddaert p.67
Clémentine Vignon
- Zoom sur
Art-thérapie, musicothérapie et démences : soigner par l’art est-il possible ? p.69
Dr Florence Bonté (Paris)
- Bulletin d’abonnement p.53
- Agenda p.61
La lecture de ce numéro est réservée aux abonnés.
Pour accéder au numéro complet
Découvrez nos offres d'abonnement
Abonnez-vous à la revue et accédez à tous les contenus du site !
- Tous les contenus de la revue en illimité
- Les numéros papier sur l'année
- Les newsletters mensuelles
- Les archives numériques en ligne
ou
Achetez ce numéro
ou
Inscrivez-vous gratuitement sur Repères en Gériatrie.fr et bénéficiez de l'accès à de nombreuses catégories du site !
- Accès aux catégories d'articles exclusives
- Les newsletters mensuelles
- Votre historique de commandes en ligne
Au sommaire de ce numéro
7ES JOURNÉES DES ÉQUIPES MOBILES DE GÉRIATRIE
2-3 juin 2016 - Pôle formation CCI - Strasbourg THÉMATIQUES ABORDÉES : • Comment communiquer autour de nos activités ? Fichier commun, comment fait-on ailleurs en Europe ? Comment valoriser…
Repérage de la dépendance fonctionnelle : un enjeu majeur de l’évaluation oncogériatrique
La dépendance fonctionnelle désigne l’impossibilité partielle ou totale de réaliser sans aide les actes de la vie quotidienne. Sa fréquence en population oncogériatrique varie entre 26 et 46 %. L’évaluation…
Pneumonie communautaire : revue de la littérature
Chaque année aux États-Unis, les pneumonies communautaires sont responsables d’environ 600 000 hospitalisations. Un âge avancé, une altération de l’état mental, des comorbidités et des anomalies des signes vitaux sont…
Une ponction pleurale : un geste réussi ?
Mme J., 90 ans, vivant en EHPAD, nous est adressée pour dyspnée d’aggravation progressive en lien avec un épanchement pleural droit (Fig. 1). La ponction évacuatrice sous repère échographique ramène…
Du diagnostic de gastroentérite à une prise en charge au bloc opératoire ! Importance de la répétition des examens cliniques en médecine gériatrique
La médecine gériatrique repose avant tout sur une évaluation clinique des patients pris en charge. Cependant, dans certains cas et face au caractère peu spécifique de certains symptômes, le recours…
Une main en gants de boxe
Cette patiente âgée de 82 ans, relativement autonome, sans antécédent particulier, présente brutalement des œdèmes des deux mains, réalisant un aspect quasiment en gants de boxe au niveau de la…
Déficit neurologique brutal : quel est votre diagnostic ?
Mme R., 85 ans, est hospitalisée pour la prise en charge d’un déficit neurologique brutal à type d’hémiparésie droite. L’IRM cérébrale confirme un AVC ischémique récent au niveau du territoire…
Unité péri-opératoire gériatrique
En 2009, une unité péri-opératoire gériatrique (UPOG) était mise en place au sein de la Pitié-Salpêtrière, pour améliorer la prise en charge des patients âgés ayant subi une chirurgie orthopédique.…
Art-thérapie, musicothérapie et démences : soigner par l’art est-il possible ?
La prise en soins des personnes atteintes de maladie d’Alzheimer ou apparentées reste encore un challenge du fait de l’absence de traitement curatif efficace. Art-thérapie et musicothérapie sont d’authentiques pratiques…







