La lecture de ce numéro est réservée aux abonnés.
Pour accéder au numéro complet
Découvrez nos offres d'abonnement
Abonnez-vous à la revue et accédez à tous les contenus du site !
- Tous les contenus de la revue en illimité
- Les numéros papier sur l'année
- Les newsletters mensuelles
- Les archives numériques en ligne
ou
Achetez ce numéro
ou
Inscrivez-vous gratuitement sur Repères en Gériatrie.fr et bénéficiez de l'accès à de nombreuses catégories du site !
- Accès aux catégories d'articles exclusives
- Les newsletters mensuelles
- Votre historique de commandes en ligne
Au sommaire de ce numéro
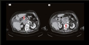
Asthénie majeure avec antécédents de lymphome non hodgkinien à grandes cellules B : quel est votre diagnostic ?
Mme A., traitée par chimiothérapie pour un lymphome non hodgkinien à grandes cellules B est hospitalisée dans le service de médecine aiguë gériatrique pour altération de l’état général.
Le scorbut chez le sujet âgé : ne pas passer à côté du diagnostic
Le scorbut (ou avitaminose C) est toujours d’actualité, mais reste méconnu et probablement sous-évalué. Il touche entre 5 et 10 % des adultes en Occident, en majorité des personnes à…
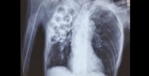
De curieuses opacités pulmonaires en grappe de raisins
Nous rapportons ici de curieuses opacités multiples lobaires supérieures, découvertes fortuitement sur un cliché pulmonaire réalisé dans le cadre du bilan infectieux d’une femme âgée de 85 ans
Prise en charge de la goutte : analyse des nouvelles recommandations
Les nouvelles recommandations de l’Eular portent sur le diagnostic et le traitement de la goutte. Le diagnostic définitif de goutte est basé sur la mise en évidence des cristaux d’urate. L’échographie est un outil…
Perte progressive de poids chez un patient de 88 ans : comment appréhender médicalement cette situation ?
M. B., patient de 88 ans, nous explique avoir noté l’existence d’une dysphagie, ou plutôt d’un problème dyspeptique (avec parfois une régurgitation d’une partie du bol alimentaire) favorisé par la prise d’une alimentation solide. Cette problématique est apparue…
La dyspnée chez la personne âgée : apprendre à la définir
La prise en charge d’une dyspnée chez la personne âgée nécessite une analyse sémiologique précise en connaissant les spécificités inhérentes au grand âge. La radiographie thoracique reste incontournable, même si l’iconographie en coupe tend à…







