- Conduite à tenir
La manœuvre de la table : à connaître en cas de fausse-route grave chez le sujet âgé p. 121
Pr H. Blain (Montpellier), M. Bonnafous (Montpellier), Dr M. David (Montpellier), Pr O. Jonquet (Montpellier), Dr S. Meyer (Limoges), Dr N. Maubourguet (Blaye)
- Le point sur
Prise en charge de la douleur du sujet âgé p. 125
C. Vignon (Paris)
- Cas clinique
Cancer du sein chez une femme âgée : une hypernatrémie difficile à corriger p. 129
R. Benmoha, M. Darasson, Pr L. Zelek, Dr F. Pamoukdjian (Bobigny)
- Mise au point
Suspicion d’endocardite infectieuse : conduite à tenir p. 134
Dr C. Selton-Suty, Dr O. Huttin, Dr F. Goehringer (Vandoeuvre-lès-Nancy)
- Cas clinique
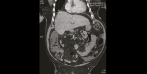
De l’air dans le côlon : quel est votre diagnostic ? p. 137
Pr B. de Wazières (Nîmes)
- Environnement p. 140
Iatrogénie et architecture
P. Muller (Taverny), P. Riquet (Saint-Jean-du-Falga), M.-C. Dauriac (Auch)
Architecture et scénographie
C. Vignon (Paris)
- Petites annonces p. 128
- Bulletin d’abonnement p. 133
- Agenda p. 139
La lecture de ce numéro est réservée aux abonnés.
Pour accéder au numéro complet
Découvrez nos offres d'abonnement
Abonnez-vous à la revue et accédez à tous les contenus du site !
- Tous les contenus de la revue en illimité
- Les numéros papier sur l'année
- Les newsletters mensuelles
- Les archives numériques en ligne
ou
Achetez ce numéro
ou
Inscrivez-vous gratuitement sur Repères en Gériatrie.fr et bénéficiez de l'accès à de nombreuses catégories du site !
- Accès aux catégories d'articles exclusives
- Les newsletters mensuelles
- Votre historique de commandes en ligne
Au sommaire de ce numéro
15E JOURNÉE DE FORMATION ET D’ÉCHANGE : HYGIÈNE, RISQUES ET QUALITÉ CHEZ LA PERSONNE ÂGÉE
22 septembre 2016 / Novotel Atria - Nîmes • 2 Séances plénières L’eau dans tous ses états Coordinateur : Joseph Hajjar (Valence) Gérontotechnologie : de la médecine à la robotique…
La manœuvre de la table : à connaître en cas de fausse-route grave chez le sujet âgé
En France, près de 4 000 personnes décèdent chaque année des suites d’une fausse-route asphyxique. Ces décès surviennent essentiellement chez les enfants et les personnes âgées fragilisées par une affection…
Prise en charge de la douleur du sujet âgé
Le 31 mai dernier avait lieu le forum Sanofi de l’antalgie dédié à la prise en charge de la douleur chez le sujet âgé. L’occasion de réunir différents acteurs de…
Cancer du sein chez une femme âgée : une hypernatrémie difficile à corriger
Le diabète insipide néphrogénique paranéoplasique est rarement décrit et le plus souvent secondaire à une obstruction chronique des voies urinaires liée au développement d’une tumeur solide. Nous rapportons le cas…
Suspicion d’endocardite infectieuse : conduite à tenir
L’endocardite infectieuse (EI) est une infection de l’endocarde valvulaire ou du matériel intracardiaque (prothèse ou anneau valvulaire, matériel de stimulation intracardiaque). La sortie quasi simultanée des nouvelles recommandations européennes et…
De l’air dans le côlon : quel est votre diagnostic ?
Un patient de 86 ans, relativement autonome, mais résidant en institution, se présente aux urgences à la suite d’une douleur abdominale d’apparition brutale survenue 4 heures avant. Cliniquement, la douleur…
Iatrogénie et architecture : interaction entre patients âgés, architecture et bientraitance
L’espace architectural accueillant nos ainés en situation de dépendance doit répondre à des impératifs sécuritaires. Il reste avant tout un lieu de vie qui doit promouvoir les droits fondamentaux des…
Architecture et scénographie : l’exemple de la Fondation hospitalière Sainte-Marie
Depuis 2005, le directeur général de la Fondation hospitalière Sainte-Marie (Paris 14e), David Viaux, éprouve le désir de bouleverser l’univers stéréotypé de l’hôpital. Son souhait est clair : « créer…








