La lecture de ce numéro est réservée aux abonnés.
Pour accéder au numéro complet
Découvrez nos offres d'abonnement
Abonnez-vous à la revue et accédez à tous les contenus du site !
- Tous les contenus de la revue en illimité
- Les numéros papier sur l'année
- Les newsletters mensuelles
- Les archives numériques en ligne
ou
Achetez ce numéro
ou
Inscrivez-vous gratuitement sur Repères en Gériatrie.fr et bénéficiez de l'accès à de nombreuses catégories du site !
- Accès aux catégories d'articles exclusives
- Les newsletters mensuelles
- Votre historique de commandes en ligne
Au sommaire de ce numéro
Comment les Français se voient-ils vieillir ?
Il y a 5 ans, Adhap Services mettait en place son programme “Objectif InDépendance”, une campagne nationale d’information et de sensibilisation sur la prise en charge à domicile des personnes…
Formation prurigineuse au niveau du mamelon droit : Quel est votre diagnostic ?
Cas clinique : Mme S., 86 ans, consulte pour la première fois au cabinet. Elle présente depuis plus de 3 mois une lésion au niveau de son mamelon droit. En…
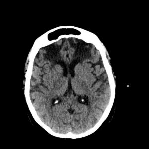
Atrophie cérébrale bi-frontale inhabituelle, à quoi peut-elle être due ?
Cas clinique : Mme B., âgée de 74 ans, est hospitalisée en unité de médecine aiguë gériatrique pour sepsis sévère sur pneumonie à Streptococcus pneumoniae. Cette patiente a des antécédents…
Les dispositifs médicaux implantables actifs en gériatrie
Le retrait d’un pacemaker après le décès d’un patient âgé est un geste courant en gériatrie. Cet acte banal tend toutefois à occulter les autres dispositifs médicaux implantables actifs (DMIA),…
Fiches examens biologiques : pour une description raisonnée du dosage de la vitamine D
Le dosage de la vitamine D (25(OH)D) est devenu en quelques années la troisième dépense de biologie en France (rapport de la Cour des comptes, 2013). Entre 2007 et 2009,…
Aidants d’hier, d’aujourd’hui et de demain : une brève histoire de l’aide aux aidants de 1980 aux années 2020
Le 7 octobre 2016, lors de la journée nationale des aidants, la fondation April révélait qu’un cinquième de la population française, soit près de 11 millions de personnes, aident une…
Diabète et obésité de la personne âgée
Cas Clinique : Paul, 75 ans, vit avec son épouse dans leur maison. Il va consulter son diabétologue. Résumé de son dossier médical : • HTA traitée par 3 anti-hypertenseurs, TA mesurée à la…








