La lecture de ce numéro est réservée aux abonnés.
Pour accéder au numéro complet
Découvrez nos offres d'abonnement
Abonnez-vous à la revue et accédez à tous les contenus du site !
- Tous les contenus de la revue en illimité
- Les numéros papier sur l'année
- Les newsletters mensuelles
- Les archives numériques en ligne
ou
Achetez ce numéro
ou
Inscrivez-vous gratuitement sur Repères en Gériatrie.fr et bénéficiez de l'accès à de nombreuses catégories du site !
- Accès aux catégories d'articles exclusives
- Les newsletters mensuelles
- Votre historique de commandes en ligne
Au sommaire de ce numéro
Les temps forts des JASFGG 2017
Sommaire du dossier : Partie 1 - Dr Delphine Matelot (Nîmes) Nutrition et cancer du sujet âgé / Troubles hydro-électrolytiques Partie 2 - Dr Elena Chidlovskii (Grenoble) AVC : de…
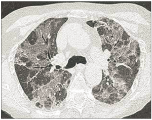
Mme F., 76 ans, désaturation et fébricule : dans un contexte d’immunosuppression…
Présentation du cas Une patiente de 76 ans se présente aux urgences pour une fébricule à 38,1 °C avec frissons depuis 2 jours. Elle a pour antécédents une ostéoporose sous…
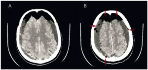
Un cerveau « aéré » : le cas de Mme C., 77 ans
Mme C., 77 ans, est adressée à l’hôpital pour confusion dans un contexte de multiples chutes avec traumatisme crânien, impossibilité de se relever seule et troubles de l’équilibre... Antécédents Parmi…
Les temps forts des JASFGG 2017 – Partie 1
Nutrition et cancer du sujet âgé - Sous l’égide du Groupe Experts Gériatres en Nutrition (GEGN) Association entre cachexie, chimiothérapie et devenir des patients âgés atteints de cancer - Pr…
Les temps forts des JASFGG 2017 – Partie 2
AVC : de la phase précoce à la réadaptation - Bonnes Pratiques Cliniques Thrombolyse et thrombectomie - Pr Sandrine Deltour (Paris) L’AVC du sujet âgé est une urgence du fait…




