La lecture de ce numéro est réservée aux abonnés.
Pour accéder au numéro complet
Découvrez nos offres d'abonnement
Abonnez-vous à la revue et accédez à tous les contenus du site !
- Tous les contenus de la revue en illimité
- Les numéros papier sur l'année
- Les newsletters mensuelles
- Les archives numériques en ligne
ou
Achetez ce numéro
ou
Inscrivez-vous gratuitement sur Repères en Gériatrie.fr et bénéficiez de l'accès à de nombreuses catégories du site !
- Accès aux catégories d'articles exclusives
- Les newsletters mensuelles
- Votre historique de commandes en ligne
Au sommaire de ce numéro
Les complications des fractures de contraintes : savoir les détecter
Les fractures de contraintes sont en fait des fissures osseuses difficilement visibles ou non visibles sur les premières radiographies, perpendiculaires aux travées osseuses. Elles sont d’origine ostéoporotique sur un os…
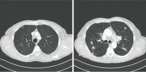
Une pneumopathie atypique typique…
Nous rapportons le cas de M.C., 75 ans, asthmatique depuis ses 17 ans et suivi pour une maladie de Crohn diagnostiquée en 1997 sans traitement spécifique depuis 5 ans. Ancien…
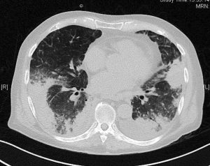
Pneumonie hypoxémiante : ne pas la banaliser !
Monsieur S Alexandre est âgé de 87 ans. En juillet 2015, un purpura thrombopénique idiopathique (PTI) lui a été diagnostiqué. Le patient était à l’époque en très bon état général,…
Anorexie avec altération de l’état général : quel est votre diagnostic ?
J., 71 ans, nous consulte pour la première fois. Il est accompagné de son épouse de 58 ans qu’il a rencontrée il y a 2 ans, et avec laquelle il est marié depuis…
Le statut socio-économique : une cible potentielle pour maintenir l’autonomie de la personne âgée
Les facteurs de risque des maladies non transmissibles (tabagisme, consommation excessive d’alcool, obésité, inactivité physique, etc.) sont associés à une diminution de l’espérance de vie et à un déclin plus…





