La lecture de ce numéro est réservée aux abonnés.
Pour accéder au numéro complet
Découvrez nos offres d'abonnement
Abonnez-vous à la revue et accédez à tous les contenus du site !
- Tous les contenus de la revue en illimité
- Les numéros papier sur l'année
- Les newsletters mensuelles
- Les archives numériques en ligne
ou
Achetez ce numéro
ou
Inscrivez-vous gratuitement sur Repères en Gériatrie.fr et bénéficiez de l'accès à de nombreuses catégories du site !
- Accès aux catégories d'articles exclusives
- Les newsletters mensuelles
- Votre historique de commandes en ligne
Au sommaire de ce numéro
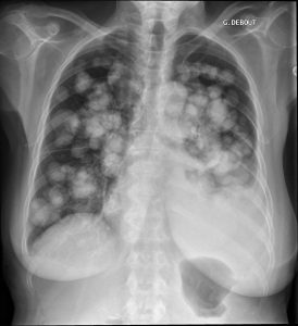
Image pulmonaire en « lâcher de ballons »
Mme B., 84 ans, est hospitalisée pour prise en charge d’une asthénie croissante associée à une dyspnée au moindre effort. Ses antécédents médicaux comprennent une hypertension artérielle
Conduite automobile et personne âgée : un sujet à deux vitesses
Ce vieillissement de la population induit une augmentation régulière de la proportion des conducteurs de plus de 65 ans
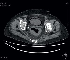
Un syndrome infectieux inexpliqué
Mme B., 90 ans, est adressée au service des urgences pour des douleurs lombaires et de l’épaule gauche, secondaires à des chutes. Ses antécédents médicaux se résument à un diabète…




