La lecture de ce numéro est réservée aux abonnés.
Pour accéder au numéro complet
Découvrez nos offres d'abonnement
Abonnez-vous à la revue et accédez à tous les contenus du site !
- Tous les contenus de la revue en illimité
- Les numéros papier sur l'année
- Les newsletters mensuelles
- Les archives numériques en ligne
ou
Achetez ce numéro
ou
Inscrivez-vous gratuitement sur Repères en Gériatrie.fr et bénéficiez de l'accès à de nombreuses catégories du site !
- Accès aux catégories d'articles exclusives
- Les newsletters mensuelles
- Votre historique de commandes en ligne
Au sommaire de ce numéro
Les temps forts des JASFGG 2017
Sommaire du dossier : Partie 1 - Dr Delphine Matelot (Nîmes) Nutrition et cancer du sujet âgé / Troubles hydro-électrolytiques Partie 2 - Dr Elena Chidlovskii (Grenoble) AVC : de…
Les temps forts des JASFGG 2017 – Partie 4
Cas cliniques en cardiogériatrie : Bonnes Pratiques Cliniques TAVI or not TAVI - Dr Laure de Decker (Nantes) Cas clinique 1 Mme B., 85 ans, est hospitalisée en hôpital de…
Mme C., 83 ans, fausses routes à répétition
Une femme de 83 ans est hospitalisée pour altération de l’état général dans un contexte de fausses routes à répétition évoluant depuis plusieurs années. Présentation du cas Mme C. est…
Artères temporales normales et syndrome inflammatoire
Mme B. consulte pour des arthromyalgies rhizoméliques, d’horaire plutôt mécanique, mais persistantes depuis un an. L’interrogatoire ciblé retrouve une hyperthermie vespérale à 39 °C depuis quelques jours, une perte de…
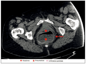
La nécrose colique
Le fécalome est une situation gériatrique fréquente, voire banale, mais dont les complications potentielles ne doivent pas être négligées. Nous présentons le cas d’une patiente décédée des suites d’une nécrose…
Les temps forts des JASFGG 2017 – Partie 3
Troubles de la déglutition/urgences : fausses routes, chariot d’urgence, détresse respiratoire : Bonnes Pratiques Cliniques Troubles de la déglutition du sujet âgé : étiologies et attitude diagnostique - Pr Nathalie…





