La lecture de ce numéro est réservée aux abonnés.
Pour accéder au numéro complet
Découvrez nos offres d'abonnement
Abonnez-vous à la revue et accédez à tous les contenus du site !
- Tous les contenus de la revue en illimité
- Les numéros papier sur l'année
- Les newsletters mensuelles
- Les archives numériques en ligne
ou
Achetez ce numéro
ou
Inscrivez-vous gratuitement sur Repères en Gériatrie.fr et bénéficiez de l'accès à de nombreuses catégories du site !
- Accès aux catégories d'articles exclusives
- Les newsletters mensuelles
- Votre historique de commandes en ligne
Au sommaire de ce numéro
Des bulles et des croûtes partout : quel est votre diagnostic ?
Suite à une admission aux urgences pour syndrome pseudo-occlusif sur rétention aiguë d’urines, Monsieur C., âgé de 98 ans, développe une hyperthermie à 39 °C et, 48 heures après, une…
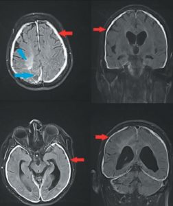
Une histoire de méninges
Nous rapportons le cas de madame G, 82 ans, hospitalisée dans notre service pour des troubles de la vigilance. Le principal antécédent est un cancer du sein droit diagnostiqué en…
Les vaccinations chez la personne âgée
Nous sommes tous persuadés que la vaccination est l’action, parmi les interventions sanitaires, qui a le meilleur rapport coût-efficacité. Cela se traduit non seulement en termes d’espérance de vie, mais…
7e Congrès fragilité du sujet âgé et prévention de la perte d’autonomie
À l’heure actuelle, notre système de santé est toujours fondé sur la prise en charge de pathologies que nous connaissons bien, et ce, depuis la Seconde Guerre mondiale. Désormais, avec…





